Volume 190
Published on October 2025Volume title: Proceedings of CONF-SPML 2026 Symposium: The 2nd Neural Computing and Applications Workshop 2025

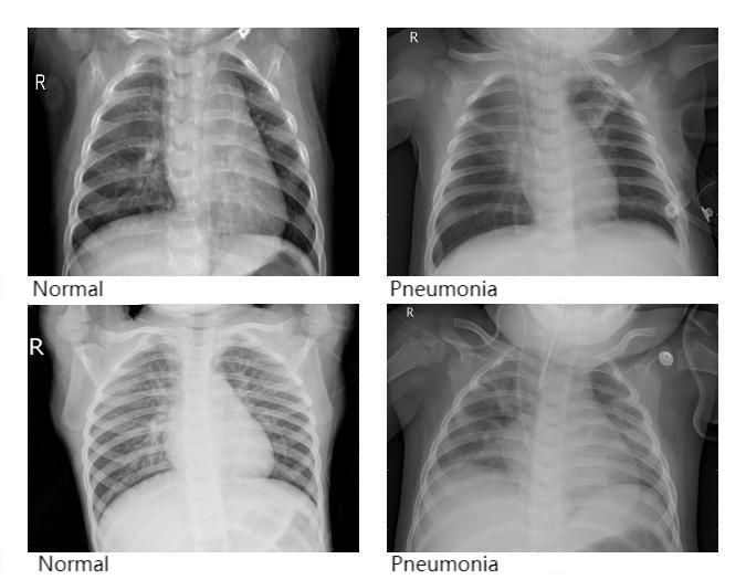
Because pneumonia incidence remains high and traditional diagnostic methods face efficiency bottlenecks, and since convolutional neural networks are increasingly applied in medical image analysis, this paper employs the AlexNet model to analyze chest X-ray images for pneumonia detection. The study optimizes the training process by tuning the number of epochs to identify the model with the best accuracy. Experimental results show that the model achieved an accuracy of 0.8108 (81.08%), demonstrating good capability for recognizing pneumonia in X-ray images. This method can help reduce the bias and time required by manual interpretation, effectively improve the efficiency of pneumonia screening, and gain valuable time for timely diagnosis and treatment.